
歯の硬い部分に穴が開く虫歯は、詰め物や被せ物で再び噛む機能を取り戻す事ができます。
一方で、歯を支える骨が脅かされる歯周病は、進行すると歯が揺れて抜け落ちることもあるため、早い段階で専門的な治療を受けることが大切です。
歯周病ではまず、歯磨き指導、歯石除去といった「歯周基本治療」があります。これを施しても歯周ポケットが浅くならない、つまり炎症が治まらないという場合は、歯肉を切開して深い部分のプラークや歯石を取り除くフラップ手術等の「歯周外科治療」を行います。こうした処置で術後のセルフケアがきちんと出来ていれば歯周病の進行は止まります。
しかし、破壊された歯槽骨は残念ながら自然に回復することは無いため、失われた組織を可能な限り元の状態に近づけようとする「歯周組織再生両方」という治療もあります。
コンセプトは医科の分野でも研究が盛んな「再生医療」と同じですが、歯科における再生医療の進化はあまり知られていません。
しかし、まだ全ての歯周病の方に行える訳ではなく、病気の進行度や溶かされた骨の形態によって制限があります。専門的な知識を有した歯科医を受診し、確認のうえで治療を進めるのがいいでしょう。
————————————————————
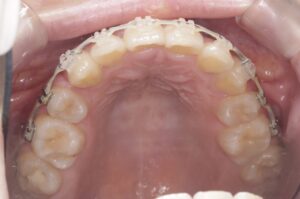
矯正日記
年齢:28歳
費用:83.6万円
治療期間:
1年7ヶ月/2年6ヶ月中
神保町ミセ歯科•矯正歯科
〒101-0051 東京都千代田区神田神保町1丁目4 神保町1-4ビル 2F
東京メトロ半蔵門線神保町駅A5出口 徒歩1分
都営地下鉄三田線A5出口 徒歩1分
都営地下鉄新宿線A5出口 徒歩1分
【ネット予約可・公式】神保町の歯医者|神保町ミセ歯科・矯正歯科
日付: 2024年12月29日 カテゴリ:ブログ
















