
⻭を⽣涯残すための⻭周病治療
当院では日本歯周病学会より認定を受けたドクターによる専門的な歯周病治療を行なっております。一般的な歯周病の改善・予防法から、先進の治療薬を用いた治療、歯周外科治療や歯周組織の治療にも対応しています。
神保町の⻭医者|神保町ミセ⻭科・矯正⻭科
私は東京科学大学(旧東京医科歯科大学)の歯周病専門外来にて、難症例を含む幅広い治療の研鑽を積み、その後は都内歯科医院にてお子さんからご高齢の方まで多くの患者様のお口の健康づくりをサポートしてまいりました。
患者様一人ひとりの症状やご希望に合わせて、あらゆる治療の選択肢をご提案し、心から納得していただける治療法をお選びいただけます。 神保町ミセ歯科・矯正歯科は、患者様との信頼関係を大切に築きながら、ドクター・スタッフともに一丸となって、あなたの健康を末長く支えてまいります。
お口元の見た目、歯並びや噛み合わせなどで気になることがありましたら、どうぞお気軽にご相談ください。
当院の審美治療では、上質な素材を用いた詰め物や被せ物をオーダーメイドでお作りし、気になる歯の色・形・歯並びを美しく整えていきます。
カウンセリングにて患者様のお悩みやご希望を丁寧にお伺いし、お口元のコンプレックスを解消できるよう、幅広い素材や治療法の中から最適なプランをご提案いたします。
当院では"第2回エステニアC&B技工コンテスト2011"で芸術作品優秀賞を受賞されたセラミストが在籍しております。患者様に美しく最適なセラミックをご提供できます。
当院では、最新の口腔内3Dスキャナー「iTero Lumina(アイテロ ルミナ)」を導入しています。
従来の型取りのような不快感がなく、お口の中をスキャンするだけで、わずか数分で精密なデータを取得できます。嘔吐反射が強い方や、型取り材の味や感触が苦手な方にも安心して治療を受けていただけます。
高精度な3Dデータにより、セラミックの詰め物・被せ物やマウスピース矯正など、審美性の高い治療をより正確に行えます。
スキャンしたデータをもとに、治療後の歯並びや見た目をその場でご確認いただけます。仕上がりのイメージを共有しながら、納得して治療を進められます。
デジタルデータで技工所と連携するため、従来より治療期間を短縮できます。
| 美しさ | ★★★★★ |
|---|---|
| 強さ | ★★★★☆ |
| 美しさ | ★★★☆☆ |
|---|---|
| 強さ | ★★★★★ |
| 美しさ | ★★★★☆ |
|---|---|
| 強さ | ★★★★☆ |
| 美しさ | ★★★★★ |
|---|---|
| 強さ | ★★★☆☆ |
貴金属のフレームの上にセラミックを盛って作られた被せ物です。耐久性と適合性に優れていますが、長年使用すると歯茎と被せ物の境目に金属が見える場合があります。
| 美しさ | ★★★☆☆ |
|---|---|
| 強さ | ★★★★☆ |
金合金や白金加金など、安定した貴金属を用いた被せ物です。しなやかなで歯との相性が良いことから、歯科修復材として高く評価されています。奥歯(臼歯)など目立たないところにおすすめしています。
| 適合性 | ★★★★★ |
|---|---|
| 強さ | ★★★★★ |
| 美しさ | ※種類による |
|---|---|
| 強さ | ※種類による |
| 美しさ | ★☆☆☆☆ |
|---|---|
| 強さ | ★★★★★ |
| 美しさ | ★★★☆☆ |
|---|---|
| 強さ | ★★☆☆☆ |
高強度で審美性も兼ね備えた優れた素材です。奥歯の治療にはハイブリッドセラミックインレーでは強度が足りない場合が多く、こちらのオールセラミックインレーをおすすめしています。
| 美しさ | ★★★★★ |
|---|---|
| 強さ | ★★★☆☆ |
| 美しさ | ★★★☆☆ |
|---|---|
| 強さ | ★★★★★ |
| 美しさ | ★★★★☆ |
|---|---|
| 強さ | ★★★★☆ |
金合金や白金加金など、安定した貴金属を用いた被せ物です。しなやかなで歯との相性が良いことから、歯科修復材として高く評価されています。奥歯(臼歯)など目立たないところにおすすめしています。
| 適合性 | ★★★★★ |
|---|---|
| 強さ | ★★★★★ |
| 美しさ | ★☆☆☆☆ |
|---|---|
| 強さ | ★★★★★ |
| 美しさ | ★★★☆☆ |
|---|---|
| 強さ | ★★☆☆☆ |
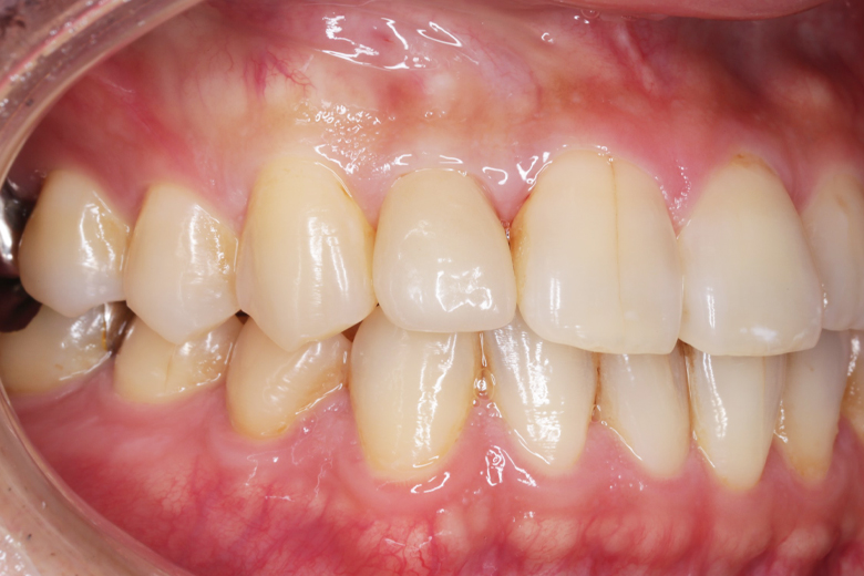
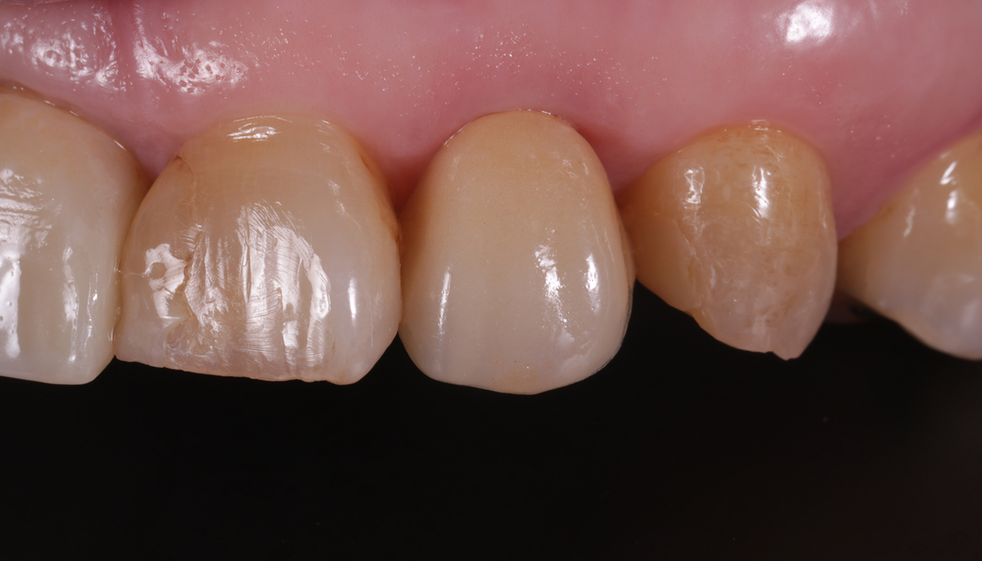
ラミネートベニア法は歯の表面を薄く削り、薄いセラミックを貼り付けることで前歯の色やバランス、大きさをキレイに整える治療法です。歯に与えるダメージを抑えながら、自然な見た目に仕上げることができます。またホワイトニングと比較して、治療後の変色や着色もほとんどない点も特徴と言えます。
①ラミネートベニア ②ジルコニアセラミッククラウン
| 年齢・性別 | 45歳 女性 |
|---|
①ラミネートベニア ②ジルコニアセラミッククラウン
| 年齢・性別 | 36歳 女性 |
|---|---|
| 治療費 | ①121,000円+②170,500円=291,500円(税込) |
ご予約・お問い合わせはこちらから