
⻭を⽣涯残すための⻭周病治療
当院では日本歯周病学会より認定を受けたドクターによる専門的な歯周病治療を行なっております。一般的な歯周病の改善・予防法から、先進の治療薬を用いた治療、歯周外科治療や歯周組織の治療にも対応しています。
神保町の⻭医者|神保町ミセ⻭科・矯正⻭科
私は東京科学大学(旧東京医科歯科大学)の歯周病専門外来にて、難症例を含む幅広い治療の研鑽を積み、その後は都内歯科医院にてお子さんからご高齢の方まで多くの患者様のお口の健康づくりをサポートしてまいりました。
患者様一人ひとりの症状やご希望に合わせて、あらゆる治療の選択肢をご提案し、心から納得していただける治療法をお選びいただけます。 神保町ミセ歯科・矯正歯科は、患者様との信頼関係を大切に築きながら、ドクター・スタッフともに一丸となって、あなたの健康を末長く支えてまいります。



総合歯科医院の最大の特徴は、矯正治療だけでなく、虫歯治療、歯周病治療、予防歯科、審美歯科など、お口に関するあらゆる治療を一つの医院で受けられることです。
カウンセリングにてお悩みやご希望をしっかりとお伺いし、一人ひとりの患者様の症状に合わせた矯正プランをご提案させていただいております。
お口の状態を確認し、費用や治療期間につきましても丁寧にご説明いたします。もちろん、実際の治療にはご納得いただいてから進んでまいりますので、ご安心ください。歯並びや咬み合わせで少しでも気になることがありましたら、まずはお気軽に当院へお問い合わせください。
矯正治療中の通院は、月2回の矯正認定医がいる日程のみの通院となります。緊急の場合(器具が外れて痛いなど)には院長による一次対応を行っております。
ご予約・お問い合わせはこちらから
大学病院所属矯正歯科医
公益社団法人 日本矯正歯科学会 所属
東京矯正歯科学会
日本矯正歯科学会 認定医
すきっ歯、出っ歯、八重歯(乱杭歯)、受け口、開咬などは「不正咬合」と呼ばれ、そうした歯並びや噛み合わせでお悩みの患者様は多くいらっしゃいます。当院では患者様お一人おひとりの気持ちに親身に寄り添い、お悩みの解消のために全力でサポートをしています。
歯列矯正の治療は、お口の中が健康な状態であれば、お子さんからご高齢の方まで何歳からでも始めることができます。まずはお気軽にカウンセリングにお問い合わせください。
歯並びが不正な状態だと歯みがきで汚れをキレイに取り除くことが難しく、虫歯や歯周病のリスクが高まってしまいます。矯正治療で歯並びが整うと、口の中を清潔な状態に保ちやすくなり、虫歯や歯周病の予防にもつながります。
歯並びや噛み合わせは、全身の健康にも様々な影響を及ぼすことが分かっています。食べ物をしっかり噛めることは内臓への負担を軽減することにつながり、また噛み合わせを整えることで身体の重心やバランスも良くなり、肩こりや腰痛などの症状が改善につながったケースもあります。
“歯の矯正”と聞いて多くの方が最初にイメージされるのが、この銀色のメタルワイヤーとブラケットと呼ばれる装置を用いる矯正装置かと思います。歯の表側に金属製のブラケットを接着する一般矯正(唇側矯正、頬側矯正)に使用されます。金属のブラケットは薄くて丈夫であり、またワイヤーやブラケットには目立ちにくい白いセラミックタイプのものもあります。

| 成人矯正(表側・ワイヤー) | 836,000円 |
|---|
「前歯だけ整えたい」など、歯と歯の間の隙間や少し歪んでいる歯並びの場合に、1本~数本の歯を整える簡単な矯正治療です。噛み合わせに問題がなく、少々の前歯の乱れを整える際には部分矯正で治療することが可能です。※お口の状態によっては、部分矯正ではなく全体矯正での治療が必要な場合もございます。

| ワイヤー部分矯正① | 330,000円 |
|---|---|
| ワイヤー部分矯正② | 440,000円 |
| ワイヤー部分矯正③ | 550,000円 |
矯正装置がほとんど目立たない、透明に近いマウスピース型の矯正装置です。金属を使用していないため、金属アレルギーの方にも適用可能です。さらに、患者様ご自身で取り外しできるため、食事や会話への影響も少なく、痛みも比較的少ないとされています。
※お口の状態によってはマウスピース矯正が適用できないケースもございます。まずはお気軽にカウンセリングにお越しください。

| インビザライン (コンプリヘンシブパッケージ) | 990,000円 |
|---|---|
| インビザライン(モデレート) | 770,000円(26枚両) 612,000円(26枚片) |
| インビザライン(ライト) | 640,000円(14枚両) 495,000円(14枚片) |
| インビザライン(エクスプレス) | 385,000円(7枚両) 300,000円(7枚片) |
全世界で1000万人以上のユーザー実績をもつ矯正装置です。形の異なる複数のマウスピース型の矯正装置を段階的に交換しながら装着していただくことで、歯の移動を行います。インビザラインの大きな特徴としては、歯型取り(印象採得)が基本的に最初の1回のみで完了することです。最初にとった歯型をもとに全てのマウスピースを製造できるシステムが整っているため、患者様の通院回数や負担も軽減することができます。
※インビザラインは完成物薬機法対象外の矯正歯科装置であり、承認薬品を対象とする医薬品副作用被害救済制度の対象外となる場合があります。
成長段階にある子どものうちから矯正治療を行うことで、歯並びだけでなく骨格的な不正の改善ができたり、大人になってからの矯正治療にかかる費用や期間を少なくできる場合があるなど、小児矯正には将来的なメリットもたくさんあります。
お子さんの歯並びや噛み合わせにつきましても、気になることがありましたらお気軽にご相談ください。
子どもの矯正を始めるタイミングは、お子さんの年齢や歯の生え替わり等によって個人差があります。基本的には前歯が生え替わり、6歳臼歯が生えると大まかな歯並びが決まってくるため、この時期のご相談をお勧めしております。
もちろん、それ以外の時期でも、お子さんの成長段階に合わせた治療をご提案しておりますので、いつでもご相談可能です。
2期治療とは、永久歯への生え変わり後の治療のことを指します。1期治療を終えてから経過を観察し、中学生くらいのタイミングで2期治療へと移行します。ワイヤーの矯正装置を用いるのが一般的で、永久歯の歯並びや噛み合わせを正しく作り上げることが主な目的となります。
1期治療で早くから問題点を改善しておくことで、2期治療の期間を短縮できたり、簡単になる場合があります。
矯正装置をつけられない乳歯列期のお子さんや、筋肉のバランスに不調和がある場合の受け口(反対咬合)の早期初期治療に用います。
歯が生える隙間が足りない場合などに拡大装置を用いて、上顎骨または上下顎の歯列を拡げることで萌出スペースを確保します。取り外し式と固定式があり、お子さんのお口の状態に合わせて選択します。
歯に接着したブラケットという小さな装置を土台にして、ワイヤーの弾性を利用して歯並びを整えていきます。目立ちにくい白いワイヤーやセラミック製の白いブラケット、歯の裏側に装置をつけて行う矯正治療(リンガルブラケット)などがあります。
専用のマウスピースを作成し、段階的に取り換えることで矯正治療を行います。装置は透明で目立ちにくく、取り外しが出来るのでお手入れも簡単です。お口の状態によっては適応できないケースがありますので、まずは当院へ診察にお越しください。
※初診の際には「保険証」をご持参の上、ご来院ください。
※ご予約優先の為、直接ご来院の際はお待ちいただくことがありますことをご了承ください。
透明に近いマウスピース型の矯正装置を装着して歯並びを綺麗にする治療方法です。
マウスピース矯正装置の一つで、1997年アメリカのアライン・テクノロジー社により開発されたものです。現在では国内シェア1位を誇っています。一人一人の歯に合わせて製作される透明に近いマススピース型の矯正装置(アライナー)を装着し、治療の段階に合わせて新しいアライナーに交換しながら徐々に歯を動かして、歯並びを矯正します。
当院では、お口の中を撮影するだけで歯型を採取することができるスキャナー「iTero」を導入しました。
最新の精密スキャニング技術でデータの精度が上がり、マウスピースの精度も上がります。
これにより、今までのシリコン印象による歯型を採得する治療に比べ、矯正治療の結果が向上します。
患者様の希望により沿った治療を実現するため、できる限り治療の幅を広げています。そのため、インビザライン(マウスピース矯正治療)、表側矯正治療、舌側矯正治療など様々な治療方法と比較していただきながら患者様にインビザラインの治療を提供できることが強みです。
インビザラインは治療を行う上で適切な知識及び技術を持っている歯科医師が行う必要があり、治療結果や治療期間に依存します。
もちろん、チェアサイド以外でマウスピースを使用するため患者さんの協力にも依存します。そのため、どこの歯科医院で治療するかは非常に重要です。
基本的には年齢制限はありません。ただ、年配の患者様は若年層の患者様に比べて歯の動きが遅いことや動きにくいことがあります。困ったことがある、もしくは矯正治療可能か聞いてみたいなどの質問があれば気軽に相談してください。
治療期間は症例によって個人差があります。気になった場合は、一度相談ください。
当院では、矯正治療と一緒にホームホワイトニングも可能です。
ホワイトニングジェルの購入も出来ます。
動きます。ただ、動くはやさには個人差があります。また、マウスピース矯正治療を行う歯科医師の適切な指導と患者さんの協力によって治療効率、期間が変わってきます。
基本的には、食事時及び歯磨き時以外(20時間以上)は使用していただきます。
しっかりと精密検査を行なった上で、治療可能か判断します。
そのため、他院で適応外と言われても治療可能な可能性もありますし、逆に他院では治療可能と言われても当院では適応外の可能性もあります。
当院で対応しているインビザラインのメニューは、以下の通りになります。
| インビザライン枚数 | 7枚 |
|---|---|
| 治療期間 | 約3ヶ月 |
| インビザライン枚数 | 14枚 |
|---|---|
| 治療期間 | 約6ヶ月 |
| インビザライン枚数 | 26枚 |
|---|
| インビザライン枚数 | 無制限 |
|---|
| リスク・副作用 | ・歯根吸収 ・歯槽骨吸収 ・歯肉退縮 ・顎関節症状(痛み・音) ・清掃困難による虫歯、歯周病 ・歯の変色 ・口腔内の痛み、口内炎 ・食事制限、違和感 ・歯の動揺 ・舌癖による治療遅延、後戻り ・アンキローシス(歯の癒着) ・歯髄壊死(神経失活) ・治療期間延長(個人差・協力度) |
|---|
| リスク・副作用 | ・歯根吸収 ・歯槽骨吸収 ・歯肉退縮 ・顎関節症状(痛み・音) ・清掃困難による虫歯、歯周病 ・歯の変色 ・口腔内の痛み、口内炎 ・食事制限、違和感 ・歯の動揺 ・舌癖による治療遅延、後戻り ・アンキローシス(歯の癒着) ・歯髄壊死(神経失活) ・治療期間延長(個人差・協力度) |
|---|
| 成人矯正(表側・ワイヤー) | 836,000円 |
|---|---|
| 通院頻度 | 1ヶ月に1回 (来院時に5,500円の調整料を頂戴いたします) |
| リスク・副作用 | ・歯根吸収 ・歯槽骨吸収 ・歯肉退縮 ・顎関節症状(痛み・音) ・清掃困難による虫歯、歯周病 ・歯の変色 ・口腔内の痛み、口内炎 ・食事制限、違和感 ・歯の動揺 ・舌癖による治療遅延、後戻り ・アンキローシス(歯の癒着) ・歯髄壊死(神経失活) ・治療期間延長(個人差・協力度) |
| 成人矯正(表側・ワイヤー) | 836,000円 |
|---|---|
| 通院頻度 | 1ヶ月に1回 (来院時に5,500円の調整料を頂戴いたします) |
| リスク・副作用 | ・歯根吸収 ・歯槽骨吸収 ・歯肉退縮 ・顎関節症状(痛み・音) ・清掃困難による虫歯、歯周病 ・歯の変色 ・口腔内の痛み、口内炎 ・食事制限、違和感 ・歯の動揺 ・舌癖による治療遅延、後戻り ・アンキローシス(歯の癒着) ・歯髄壊死(神経失活) ・治療期間延長(個人差・協力度) |
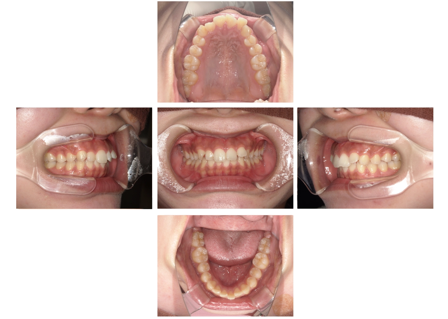
| 術名 | 矯正治療(成人矯正) |
|---|---|
| 年齢 | 26歳 |
| 性別 | 女性 |
| 主訴 | 歯並びのガタガタ(叢生)の改善 |
| 診断名 | 叢生(歯列不正) |
| 治療内容 | ・ワイヤー矯正治療 ・抜歯(上下左右4番 計4本) |
| 治療期間 | 約2年〜3年(矯正治療)+約2年(保定期間) |
| 費用(税込) | ・成人矯正治療費:726,000円 ・ホワイトワイヤー:3,300円/本(任意) ・抜歯料:6,600円/4本 ・調整料:5,500円/毎月 ・保定観察料:5,500円/来院時 ※その他:虫歯治療・クリーニング・装置破損等は別途費用 |
| リスク・副作用 | ・歯根吸収 ・歯槽骨吸収 ・歯肉退縮 ・顎関節症状(痛み・音) ・清掃困難による虫歯、歯周病 ・歯の変色 ・口腔内の痛み、口内炎 ・食事制限、違和感 ・歯の動揺 ・舌癖による治療遅延、後戻り ・アンキローシス(歯の癒着) ・歯髄壊死(神経失活) ・治療期間延長(個人差・協力度) |
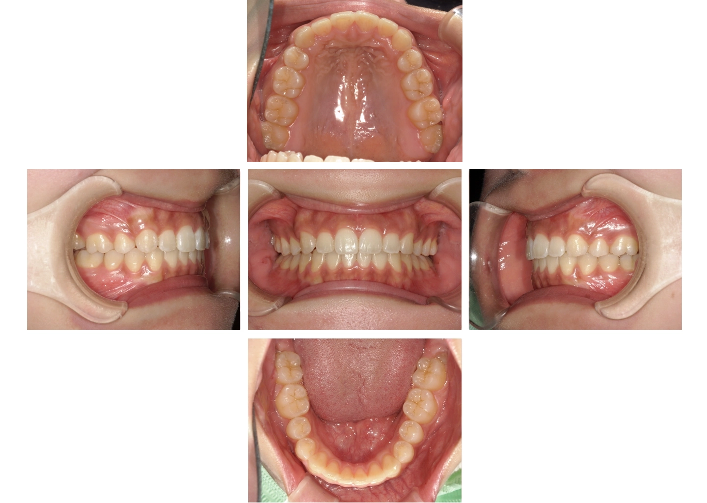
| 術名 | 矯正治療(成人矯正) |
|---|---|
| 年齢 | 26歳 |
| 性別 | 女性 |
| 主訴 | 歯並びのガタガタ(叢生)の改善 |
| 診断名 | 叢生(歯列不正) |
| 治療内容 | ・ワイヤー矯正治療 ・抜歯(上顎左右4万:計2本) ・親知らずの抜歯(別途) |
| 治療期間 | 約2年〜3年(矯正治療)+約2年(保定期間) |
| 費用(税込) | ・成人矯正治療費:836,000円 ・ホワイトワイヤー:3,300円/本(任意) ・抜歯料:6,600円/2本 ・調整料:5,500円/毎月 ・保定観察料:5,500円/来院時 ※その他:虫歯治療・クリーニング・装置破損等は別途費用 |
| リスク・副作用 | ・歯根吸収 ・歯槽骨吸収 ・歯肉退縮 ・顎関節症状(痛み・音) ・清掃困難による虫歯、歯周病 ・歯の変色 ・口腔内の痛み、口内炎 ・食事制限、違和感 ・歯の動揺 ・舌癖による治療遅延、後戻り ・アンキローシス(歯の癒着) ・歯髄壊死(神経失活) ・治療期間延長(個人差・協力度) |
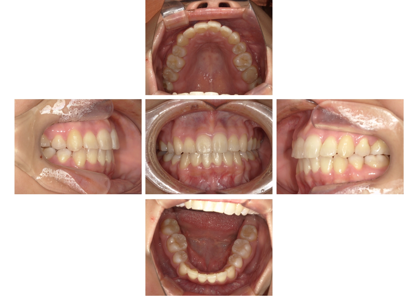
| 術名 | 矯正治療(成人矯正) |
|---|---|
| 年齢 | 42歳 |
| 性別 | 男性 |
| 主訴 | 歯並びのガタガタ(叢生)の改善 |
| 診断名 | 叢生(歯列不正) |
| 治療内容 | ・ワイヤー矯正治療 ・抜歯無し |
| 治療期間 | 約2年〜3年(矯正治療)+約2年(保定期間) |
| 費用(税込) | ・成人矯正治療費:836,000円 ・ホワイトワイヤー:3,300円/本(任意) ・調整料:5,500円/毎月 ・保定観察料:5,500円/来院時 ※その他:虫歯治療・クリーニング・装置破損等は別途費用 |
| リスク・副作用 | ・歯根吸収 ・歯槽骨吸収 ・歯肉退縮 ・顎関節症状(痛み・音) ・清掃困難による虫歯、歯周病 ・歯の変色 ・口腔内の痛み、口内炎 ・食事制限、違和感 ・歯の動揺 ・舌癖による治療遅延、後戻り ・アンキローシス(歯の癒着) ・歯髄壊死(神経失活) ・治療期間延長(個人差・協力度) |
ご予約・お問い合わせはこちらから